- Este avance científico abre las puertas al desarrollo de tratamientos más específicos y con menos efectos secundarios en los pacientes

La organización e interacción de las células determinan el funcionamiento de los tejidos y órganos del cuerpo humano. El diseño de un proyecto para crear un atlas a nivel celular presentó nuevos avances con los mapas de referencia del intestino, el riñón y la interfase materno-fetal.
El estudio incluye nueve artículos coordinados por la iniciativa Programa Atlas BioMolecular Humano (HuBMAP), que descubrió información sobre los diferentes tipos celulares y cómo interactúan en los tejidos y órganos humanos, lo que proporciona un recurso para estudiar la biología y las enfermedades.
El consorcio HuBMAP, creado en 2018, busca cartografiar el panorama molecular de las células sanas y su entorno inmediato en el cuerpo para comprender mejor la relación entre la organización celular y la salud, además de desarrollar las herramientas necesarias para ir creando ese atlas.
Un ser humano adulto está compuesto por billones de células que se organizan en tejidos, pero cuando este es sano raramente se analiza. Un atlas de tejidos sanos puede ayudar a comprender qué falla en una fase temprana de una enfermedad y aportar ideas para desarrollar tratamientos.
Mapas unicelulares
Los estudios se dieron a conocer el 18 de julio y son el primer conjunto coordinado de artículos que trazan mapas unicelulares de alta resolución de órganos humanos, incluidas las funciones que desempeñan.

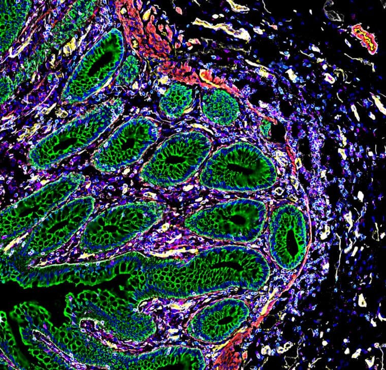
Crédito: Stanford Medicine/Snyder lab/Nolan lab/Greenleaf lab
El doctor Michael Snyder, de la Facultad de Medicina de la Universidad de Stanford (Estados Unidos) e investigador principal del proyecto, señaló que estos trabajos aportaron datos sobre cómo las células viven y trabajan juntas en vecindarios celulares, en los que se pueden diferenciar distintas partes de los órganos.
“Es difícil entender la enfermedad si no sabes cómo son los estados saludables. Estos mapas nos permitirán comenzar a comparar diferentes órganos y analizar qué falla durante la enfermedad”, señaló Snyder.
Entre los mapas de células de referencia presentados están el del intestino, el riñón y la interfaz materno-fetal, donde coexisten la placenta y las células maternas.
Snyder encabezó una de las investigaciones sobre el intestino, un órgano con muchas estructuras y funciones, desde la digestión hasta el apoyo al sistema inmunológico, del que por primera vez se ha hecho un mapa espacial a nivel de una sola célula.
¿Cómo se hizo el estudio?
El equipo analizó ocho secciones del intestino delgado y grueso de nueve donantes fallecidos, la mayoría hombres blancos, lo que reveló variaciones importantes en la composición celular en las diferentes regiones y se identificaron nuevos subtipos de células epiteliales.
Además, descubrieron que los llamados vecindarios de células cooperan para digerir los alimentos y proteger de las infecciones, entre otras cosas y los pudieron cartografiar.
Un nuevo mapa de muy alta resolución de estos vecindarios muestra una compleja y variada composición celular que contribuye al funcionamiento de este órgano, explicó la Universidad de Stanford en un comunicado.

Foto referencial: Pixabay
Snyder consideró que estos mapas están destinados a ser una referencia para un intestino sano, con el que se pueden comparar enfermedades como el intestino irritable o el cáncer de colon en etapa temprana.
En el caso del riñón, un equipo encabezado por Snajay Jain, de la Universidad de Washington en San Luís (EE UU) presentó el atlas unicelular de 51 tipos celulares, algunos raros y novedosos, en el riñón sano, y 28 relacionados con características asociadas a lesiones o recuperación.
Los investigadores caracterizaron los rasgos moleculares de las células renales sanas y enfermas en distintos segmentos renales y crearon imágenes tridimensionales de células que viven en comunidades y se comunican con sus vecinas.
Desarrollo de nuevos fármacos
Una visión completa de estas relaciones celulares en el organismo abre el camino para desarrollar fármacos mejores y más precisos, con menos efectos secundarios.
También realizaron un mapa de la placenta humana durante la primera mitad del embarazo, para lo que analizaron unas 500 mil células y 588 arterias de 66 muestras de la interfase materno-fetal humana.
Así, pudieron identificar interacciones entre células placentarias e inmunitarias, un descubrimiento que da información sobre cómo se apoyan entre sí para resguardar la vida del bebé.
El consorcio HuBMAP, activo desde 2018, desarrolla además las herramientas necesarias y con el uso de la inteligencia artificial, para crear estos mapas espaciales en 2 y 3D de componentes moleculares celulares, incluidos ARN, proteínas y metabolitos, dentro de tejidos y órganos a nivel de una sola célula.
Los investigadores concluyeron que seguirán recolectando y analizando datos de organización celular para otros órganos humanos sanos, como la vejiga, los ojos o el corazón.
De esta manera podrán construir herramientas y tecnologías necesarias que logren un atlas de referencia completo.
Con información de EFE
Fuente: https://eldiario.com/2023/07/20/disenan-un-atlas-de-las-celulas-del-cuerpo-humano/